En la raíz del trastorno de estrés postraumático (TEPT) hay un recuerdo que no se puede controlar. Y puede entrometerse en la actividad cotidiana, arrojar a una persona al centro de un hecho horroroso o emerger en forma de terrores nocturnos o flashbacks.
Décadas de tratamiento a veteranos militares y a sobrevivientes de ataques sexuales dejan pocas dudas de que los recuerdos traumáticos funcionan de manera diferente a otros recuerdos. Un grupo de investigadores de la Universidad de Yale y de la Escuela de Medicina Icahn del Hospital Mount Sinai en Nueva York se propusieron encontrar pruebas empíricas de tales diferencias.
El equipo realizó escaneos cerebrales de 28 personas con trastorno de estrés postraumático mientras escuchaban narraciones grabadas de recuerdos suyos. Algunos de los recuerdos grabados eran neutrales, otros eran simplemente «tristes» y otros eran traumáticos.
Los escaneos cerebrales detectaron diferencias claras, según informó el plantel de la investigación en un artículo publicado la semana pasada en la revista Nature Neuroscience. Las personas que escucharon los recuerdos tristes, que a menudo involucraban la muerte de un miembro de la familia, exhibieron alta intervención constante del hipocampo, la parte del cerebro que organiza y contextualiza los recuerdos.
Cuando esas mismas personas escuchaban sus recuerdos traumáticos (de agresiones sexuales, incendios, tiroteos en escuelas y ataques terroristas), el hipocampo no intervenía.
«Lo que eso nos dice es que el cerebro se halla en un estado diferente durante los dos recuerdos», explicó Daniela Schiller, neurocientífica de la Escuela de Medicina Icahn del Mount Sinai y una de las autoras del estudio. La especialista señaló que las terapias para el trastorno de estrés postraumático por lo general procuran ayudar a las personas a organizar su recuerdo para poder verlo como algo distante del presente.
«Ahora encontramos algo que podría explicarlo en el cerebro –destacó la doctora Schiller–. El cerebro no parece situarse en estado de memoria; parece verse en estado de experiencia presente”.
Efectivamente, concluyen los autores y autoras en el artículo, “los recuerdos traumáticos no se experimentan como recuerdos en sí mismos” sino como “fragmentos de eventos anteriores que dominan el momento presente”.
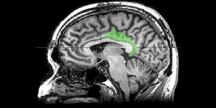
Este tipo de recuerdos parece involucrar un área diferente del cerebro: la corteza cingulada posterior, o CCP, que suele estar implicada en el pensamiento dirigido internamente, como la introspección o la ensoñación diurna. Cuanto más graves fueran los síntomas de TEPT de la persona analizada, más actividad aparecía en el CCP.
Lo sorprendente de este hallazgo es que a la CCP no se la conoce como región de memoria, sino como que está dedicada al «procesamiento de la experiencia interna», observó Schiller.
Los recientes hallazgos se incorporan a una cuestión muy debatida en el campo del trauma: ¿los médicos deben alentar a que la gente con trastorno de estrés postraumático se exponga a sus recuerdos más traumáticos?
Los tratamientos para el estrés postraumático
En los últimos años muchos estadounidenses han adoptado tratamientos como la terapia de exposición prolongada y el reprocesamiento y desensibilización de los movimientos oculares, o EMDR por sus siglas en inglés, que revisitan recuerdos traumáticos con la esperanza de vaciarlos de su fuerza destructiva. Ilan Harpaz-Rotem, también autor del artículo, dijo que los nuevos hallazgos daban a entender que revisitar los recuerdos era un elemento fundamental del tratamiento.
«Se ayuda así al paciente a reelaborar un recuerdo que puede organizarse y reunificarse en el interior del hipocampo», explicó este profesor de psiquiatría y psicología de la Universidad de Yale.
Como ejemplo describió un caso de su experiencia clínica: un médico del ejército a quien lo acosaba una imagen fragmentaria de su pasado en la que vendaba frenéticamente la herida de un soldado estando ambos bajo fuego. En terapia, tratando de “construir una historia, un recuerdo coherente”, el clínico ayudó al médico a completar los detalles en torno a esa escena, incluido un soldado muerto que yacía cerca, disparos en el fondo y el propio uso de demasiados vendajes por pánico.
Idealmente estos tratamientos pueden ayudar a transformar el recuerdo traumático en uno que se parezca más a los recuerdos tristes comunes. «Es como reponer un bloque en el lugar que corresponde», comparó el doctor Harpaz-Rotem. “Si puedo acceder a un recuerdo, sé que es un recuerdo. Sé que eso no me está ocurriendo a mí ahora”.
La doctora Ruth Lanius, directora de investigación de TEPT de la Universidad de Ontario Occidental, en Canadá, que no participó en el estudio, describió los hallazgos como «seminales» porque determinan que los recuerdos traumáticos tienen trayectorias diferentes y porque indican que los mecanismos clave para la memoria traumática pueden involucrar áreas del cerebro menos examinadas.
Gran parte de la investigación sobre el trastorno de estrés postraumático se ha centrado en la amígdala cerebral, el centro de detección del estrés del cerebro, y el hipocampo, subrayó Lanius. La corteza cingulada posterior está “realmente involucrada en revivir recuerdos” y en buscar la relevancia personal, lo autorreferencial, cosa que puede explicar por qué un recordatorio sensorial puede causar miedo o pánico abrumadores.
«Un soldado, si escucha fuegos artificiales, puede llegar a correr y ponerse a cubierto», comentó la investigadora. “Los recuerdos traumáticos no se recuerdan; son revividos, vuelven a experimentarse”, afirmó.
Los médicos, añadió, podrán utilizar estos hallazgos para tratar a pacientes que «no sienten que el trauma ha terminado», empleando terapias que «ponen el contexto en línea, de modo que se sepa: ‘Ah, eso ocurrió en el pasado'». E indicó que los investigadores deberían explorar terapias, como el mindfulness o atención plena, que se sabe activan las partes del cerebro que a la vez se sabe que proporcionan contexto.
Si con el tiempo se pudiera identificar marcadores biológicos para el TEPT sería «una gran contribución científica», porque resolvería las diferencias en este campo sobre qué experiencias constituyen un trauma, opinó Brian Marx, subdirector de la División de Ciencias del Comportamiento del Centro Nacional para el TEPT de EE.UU., que no intervino en el estudio.
Mientras la mayoría de los expertos coincide en que los accidentes automovilísticos, la violencia sexual o los combates militares son hechos traumáticos, hay desacuerdo acerca de que experiencias como el racismo o el estrés pandémico deban considerarse como base para un diagnóstico de TEPT, expresó.
«Es una de las cuestiones fundamentales de nuestro campo profesional –destacó–. Es un debate en el que todavía luchamos porque no tenemos una respuesta».
Marx calificó la nueva investigación de «cautivadora» pero no concluyente, y señaló que no había incluido un grupo de comparación de personas sin diagnóstico de trastorno de estrés postraumático, ni había especificado cuánto tiempo hacía que se produjeron los hechos traumáticos o si las víctimas de ellos ya habían asistido a psicoterapia.
Y manifestó que no era probable que zanjara los debates sobre si los tratamientos para el TEPT deberían incluir la exposición a recuerdos traumáticos, dado que la literatura sobre resultados de los tratamientos muestra que las reacciones son altamente individuales.
«Decir que esto es una prueba definitiva realmente ignora la realidad de que nuestros tratamientos son imperfectos», dictaminó. «No funcionan para todos de la misma manera».
The New York Times. Especial para Clarín
Traducción: Román García Azcárate
AS

